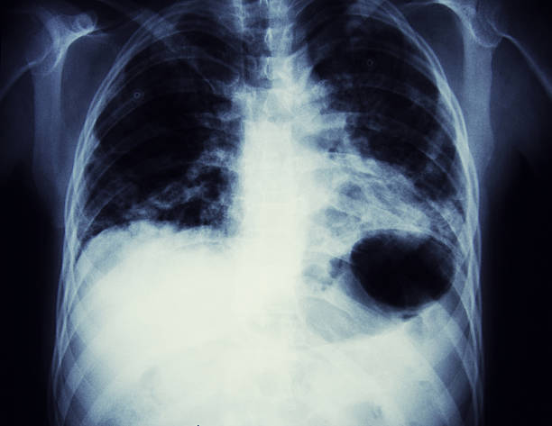
폐암 초기증상과 예방 알아보기



1990년대 암환자의 5년 생존율은 40%에 불과했지만 최근에는 약 70%까지 증가한 것으로 파악되며, 폐암과 같이 생존율이 낮았던 암들의 생존율도 크게 높아지고 있습니다. 생존율은 초기에 발견하여 대처하는 것이 좋기 때문에 이번 기회에 폐암 초기 증상을 알아보시고 인지하는 것이 중요합니다.
폐에 좋은 음식 10가지 알아보기
폐에 좋은 음식 10가지 흔히들 폐암은 흡연으로 발생하는 질환으로 생각합니다. 하지만 흡연과 같이 폐에 위협을 직접적으로 가하는 생활습관이 아니더라도, 암이 생기게 되는 요인은 정말 다양
wjdqh.goodtory.kr
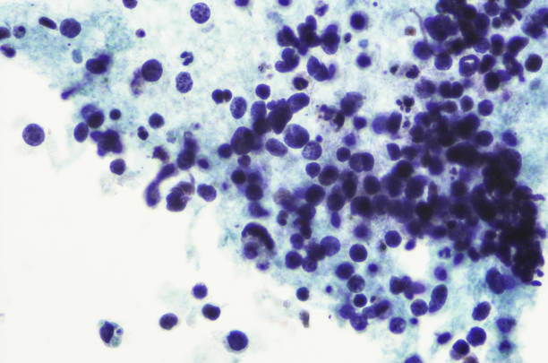
폐암 원인



폐암 원인은 다양하지만 유전적 요인, 환경적 요인, 흡연 등이 있는 것으로 알려져 있으며 가족력이 특히 중요해 가족력이 있는 경우 꾸준한 관리가 중요합니다. 또한, 폐암의 대표적인 병인으로서 흡연은 직간접적인 영향이 강하여 폐암의 병인과 떼려야 뗄 수 없는 중요한 것으로 여겨집니다.
폐암 초기증상 1. 기침



폐암의 가장 흔한 초기 증상은 기침입니다. 그러나 기침의 양상이 다른 증상과 유사하기 때문에 애초에 폐암을 의심하기는 사실 쉽지 않습니다. 따라서 기침 증상에 주의하고 병원에서 치료를 받은 후에도 기침 횟수가 줄어들지 않고 흉통이 지속된다면 폐암의 초기 증상을 의심해 봐야 합니다.. 기침은 폐암 환자의 절반 이상에서 흔한 증상이나 특별한 증상이 아니기 때문에 인식하기 어려우며 특별한 주의가 필요합니다.
폐암 초기증상 2. 흉통



폐암의 초기 증상 두 번째는 기침과 함께 동반되는 흉통이 있습니다. 흉통은 기침으로 인한 것이 아니지만 대부분의 폐암 환자가 호소하는 증상입니다. 흉통은 폐 가장자리의 종양이 흉막과 흉벽에 위치한 암으로 발전하여 흉통이라고 하는 통증을 유발할 때 발생합니다. 기침과 마찬가지로 흉통이 반드시 폐암에 해당하는 것은 아니지만, 폐암으로 인한 흉통은 지속적인 따끔거림과 날카로운 통증을 동반하기 때문에 가슴 부위 통증이 지속되면 기침과 마찬가지로 가족력이 있다면 폐암 검사를 받으실 필요가 있습니다.
폐암 초기증상 3. 쉰 목소리



쉰 목소리도 폐암의 초기 증상 중 하나입니다. 폐암의 초기 증상으로 나타나는 쉰 목소리 역시 반드시 폐암이라고 인식하기 어렵기 때문에 폐암 초기증상으로 나타나는 쉰목소리 역시 무서운 증상입니다.. 반드시 폐암이 아니라 이 증상이 반드시 폐암인 것은 아니지만 목이 쉬는 것이므로 병원에 가서 진찰을 받아야 합니다.
폐암 초기증상 4. 숨가쁨 증상



숨가쁨 역시 폐암의 초기 증상 중 하나입니다. 숨가쁨의 패턴도 다양하므로 만성 폐쇄성 질환(COPD)과 같은 상태로 인한 숨가쁨에 주의해야 합니다. 이로 인한 호흡기능 자체가 저하된다면 향후 호흡기에 의존하여야 하기 때문에 역시 주의가 필요합니다. 숨가뿜 증상의 하나인 만성 폐쇄성 질환(COPD)은 주로 흡연자에게 발생하지만 기도 협착, 폐포폐쇄, 호흡기능 저하 자체가 발생하므로 흡연을 하지 않더라도 COPD가 발생하는 경우에는 COPD 검진 및 조기 치료가 필요하다.
폐암의 초기 증상 5. 객혈



객혈은 또한 폐암의 초기 증상입니다. 암세포가 작아도 기관지를 관통하면 암세포 주변에 수많은 혈관이 생긴다. 폐가 기관지를 자주 자극하면 기침과 가래가 자주 발생하기 때문에 대부분의 폐암 환자들이 통증을 호소하는 것으로 알려져 있다.
폐암 초기증상 6. 체중감소



체중 감소 역시 폐암 초기 증상 중 하나입니다. 체중감소는 암세포에 의한 거식증으로 인해 기면증과 급격한 체중감소의 증상이 있거나 단순 체중감소 증상이 있다면 폐암이 아니더라도 '암'을 의심해야하는데 이는 암세포가 아무래도 우리 체내에서 신진대사에 영향을 미치기 때문에 체중감소가 지속되면 반드시 병원진료를 받으셔야 합니다.
폐암 초기증상 7. 상대정맥증후군



상대정맥증후군 역시 폐암의 초기증상 중 하나입니다. 상대정맥증후군은 폐암이 상대정맥 주위에 발생하여 상대정맥을 압박하여 순환장애, 머리와 팔 등 신체 여러 부위의 부종, 호흡곤란, 흉부정맥 탈출 등으로 발생합니다.
폐암 초기증상 8. 두통



두통은 또한 폐암 초기 증상 중 하나입니다. 암세포의 가장 무서운 점은 암세포가 체내에 다른 기관으로 전이된다는 것입니다. 폐에 상존하는 암세포라도 뇌로 전이될 가능성이 높아 혈관에 압력을 가하고, 두통이 생기면 메스꺼움이 생겨 두통을 유발하기 때문에 절대로 가볍게 지나치지 말고 두통이 심하다면 별다른 원인을 찾지 못하고 있다면 폐암과 관련된 증상도 확인한번 하시기 바랍니다.
폐암 예방

폐암 예방은 궁극적으로 폐암의 원인을 차단하는 것이며, 흡연자라면 기본적으로 금연을 해야 합니다. 아울러한 최근 여성의 폐암 발병률이 증가하고 있는데 아무래도 가스레인지를 통해 폐에 유해 물질이 들어가는 경우가 많기 때문입니다. 따라서 가족력이 있는 사람은 남녀를 가리지 말고 정기적으로 건강 검진을 받아야 하며 가족력이 없다 하더라도 주의를 기울이고 정기적인 건강 검진을 받는 것이 좋습니다.
폐에 좋은 음식 10가지 알아보기
폐에 좋은 음식 10가지 흔히들 폐암은 흡연으로 발생하는 질환으로 생각합니다. 하지만 흡연과 같이 폐에 위협을 직접적으로 가하는 생활습관이 아니더라도, 암이 생기게 되는 요인은 정말 다양
wjdqh.goodtory.kr
목디스크 증상 및 목디스크에 좋은 운동 알아보기
목디스크 증상 및 목디스크에 좋은 운동 알아보기 현대인들에게만 나타나는 질병 중 하나인 목디스크 잦은 스마트폰 사용과 컴퓨터를 통한 업무 처리 시 생기는 구부정한 자세로 인하여 생활
wjdqh.goodtory.kr
팔자주름 없애는 방법 알아보기
팔자주름 없애는 방법 알아보기 나이가 들어가면 자연스럽게 신체도 나이를 들어갑니다. 하지만 거울을 볼 때마다 신경 쓰이는 것들이 하나둘이 아닌데 그 중 가장 많이 신경쓰이는 것 중 하나
wjdqh.goodtory.kr
아랫배가 아픈이유(ft. 아랫배가묵직해요) 알아보기
아랫배가 아픈이유(ft. 아랫배가묵직해요) 알아보기 대변 신호로 생각해서 화장실에 가서 볼일을 보러 갔는데도 별다른 신호가 없는데 계속 아랫배가 아픈 증상이 지속되면 일상생활에 지장이
wjdqh.goodtory.kr
'건강한 생활' 카테고리의 다른 글
| 밀크시슬 효과(ft. 간에 좋은 영양제) 알아보기 (0) | 2022.07.07 |
|---|---|
| 당귀 효능 9가지 및 부작용 알아보기 (0) | 2022.07.05 |
| 어깨 통증 원인 찾기(ft. 회전근개파열) (0) | 2022.07.05 |
| 족저근막염 치료법과 증상 알아보기 (0) | 2022.07.05 |
| 폐에 좋은 음식 10가지 알아보기 (0) | 2022.06.29 |
댓글