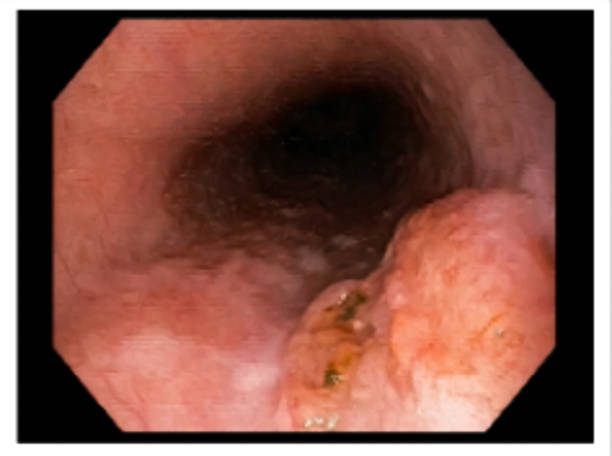
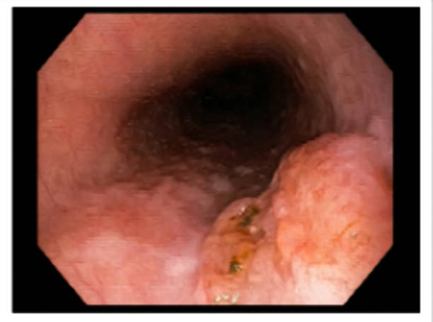
식도암 초기증상 자세히 알아보기



식도는 입과 위를 연결해 주는 부위로 우리가 음식을 섭취할 때 식도를 통해 음식물을 위로 넘깁니다. 이 식도 부분에 암세포가 생기는 것을 식도암이라고 하는데 부위에 따라서 경부식도암, 흉부 식도암, 위-식도 연결부위암으로 좀더 세분화 하여 보고 있으며, 식도암 세포의 형태에 따라 편평세포암, 선암, 육종, 림프종, 흑색종 등으로 구분하는데 최근 식도암도 우리나라에서 흔히 발견되는 암의 일종으로 보고 되고 있어 초기증상에 대해 잘 알고 초기에 대응하는 것이 중요해 이번 시간에는 식도암 초기증상에 대해 알아보겠습니다.
식도암 원인


남성은 여성보다 늙은 사람이 젊은 사람보다 식도암 위험이 더 높은데 아무래도 식도를 보다 자극하는 흡연과 음주가 질병을 일으키는 것으로 알려져 있기 때문입니다. 따라서 이러한 습관이 더 많은 성별이나 연령에서 발병되는 가능성이 더 높습니다. 또한, 알코올 자체가 암을 유발하는 것으로 나타났으며 다른 발암 물질이 우리 몸의 세포에 더 쉽게 침투하도록 하기 때문에 가급적 식도에 자극을 적게 주는 것이 식도암을 예방하는 길입니다.
식도암 초기증상 1. 속쓰림



식도암 초기증상 첫 번째는 속쓰림입니다. 아무래도 술과 흡연을 즐겨하시는 분들에게 속쓰림 현상은 보다 자주일어나는데 이 속쓰림 증세가 만성적으로 지속된다면 식도암으로 나타났을 가능성이 있기 때문에 평소와 다르게 나타나는 증상이 강하다면 식도암을 의심해볼 필요도 있습니다.
식도암 초기증상 2. 음식 역류


식도암 초기증상 두 번째는 음식의 역류입니다. 음식물이 역류하는 증상은 흔히 역류성 식도염을 생각하지만 일어나는 원인이 조금은 다른데 역류성 식도염이 아니라면 식도의 종양으로 인하여 이러한 역류가 일어날 수 있습니다. 단순히 증상이 아니라 신물이 난다던가 역류 현상이 지속되면서 체중감소를 동반한다면 마찬가지로 식도암으로 나타나는 증상으로 생각하시기 바랍니다.
식도암 초기증상 3. 급격한 체중감소


식도암 초기증상 세 번째는 급격한 체중감소입니다. 위에서 음식 역류와 동반한 체중감소인 경우를 제외하고 이러한 증상도 없는데 체중감소 증상이 나타나는 것은 대부분 암 증상 초기에 나타나는 증상입니다. 식도암도 마찬가지로 식도 종양으로인해 음식 섭취를 편하게 할 수 없기 때문인 경우가 많아 이러한 이유로 체중이 급격하게 감소한다면 식도에 대한 검진을 받는 것이 필요합니다.
식도암 초기증상 4. 쉰 목소리



식도암 초기증상 네 번째는 쉰 목소리입니다. 목을 많이 쓰지도 않았는데 쉰 목소리가 난다면 목과 관련된 여러 증상을 의심해볼 수 있습니다. 식도에서 종양이 자라는 식도암 역시 이 종양으로 피가 난다거나 목이 따끔거리기 때문에 목소리가 갈라져 나오거나 쉰 목소리로 나오기 때문에 이 때는 식도암 초기증상을 의심해 볼 수 있습니다.
식도암 예방 방법



따라서, 식도암은 걸리기 전에 예방을 하는 게 중요합니다. 식도암은 가능한 식도를 자극하지 않는 것이 중요하기 때문에 흡연이나 음주는 가급적 줄이는 것이 좋으며 식도에 긍정적인 영양을 공급할 수 있는 신선한 채소와 과일로 구성된 식단으로 식사를 하는 것이 좋으며 뿐만 아니라 운동을 동반하여 전반적인 건강 개선에 힘쓰는 것이 좋습니다.
식도암 생존율

식도암 역시 암이기 때문에 생명에 위협을 가할 수 있습니다. 식도암은 1기 생존율은 80% 정도로 알려져 있으며 2기에는 50%, 3기는 10~30%로 상대적으로 낮은 편으로 알려져 있어 초기에 증상을 파악하고 치료를 받는 것이 가장 좋아 초기 증상에 대해 면밀히 검토하시기 바랍니다.
갑상선 기능 저하증 증상 자세히 알아보기
갑상선 기능 저하증 증상 자세히 알아보기 갑상선은 우리 몸에서 갑상선 호르몬을 생성하여 신진대사를 활성화하여 우리 몸을 유지하는데 중요한 역할을 합니다. 하지만 갑산성 기능 저하증에
wjdqh.goodtory.kr
양파즙 효능 및 부작용 자세히 알아보기
양파즙 효능 및 부작용 자세히 알아보기 우리가 건강을 잘 챙기기 위해서 가장 먼저 체크해야할 점은 바로 면역력을 점검해야 한다는 점입니다. 아무래도 면역력이 취약해지는 환절기는 바깥
wjdqh.goodtory.kr
홍삼 효능 자세히 알아보기
홍삼 효능 자세히 알아보기 감사한 분들에게 인사를 할 때 선물 고민들을 많이 하실텐데 명절 선물로도 좋은 홍삼 선물들 많이 하시고 계십니다. 아무래도 값도 그리 비싸지 않고, 효능도 좋아
wjdqh.goodtory.kr
파킨슨병 초기증상 자세히 알아보기
파킨슨병 초기증상 자세히 알아보기 파킨슨병은 주로 60대 이상에서 유병률이 높은 질병으로 희귀 질환은 아니지만 근본 원인도 아직 연구 중이지만 다양한 요인에 의해 발병하는 것으로 알려
wjdqh.goodtory.kr
상추 효능 부작용 자세히 알아보기
상추 효능 부작용 자세히 알아보기 상추는 동의보감에서 오장을 진정시키는 효과가 뛰어난 약재이자 채소로 소개되어 있을 정도로 뛰어난 효능을 자랑합니다. 하지만, 상추는 1년 내내 먹을 수
wjdqh.goodtory.kr
'건강한 생활' 카테고리의 다른 글
| 공황장애 증상과 공황장애 치료방법 자세히 알아보기 (0) | 2022.10.30 |
|---|---|
| 비오틴 효능 자세히 알아보기 (0) | 2022.10.30 |
| 갑상선 기능 저하증 증상 자세히 알아보기 (0) | 2022.10.30 |
| 양파즙 효능 및 부작용 자세히 알아보기 (0) | 2022.10.30 |
| 홍삼 효능 자세히 알아보기 (0) | 2022.10.30 |
댓글