통풍 증상 정리하기
통풍 증상 정리하기



통풍은 요산이 체내에 가득하게 쌓이면서 생기는 질환입니다. 요산은 우리가 먹은 음식이 소화되고 최종적으로 남은 물질로 혈액 내 녹아 소변으로 배출되는데 요산이 과도하게 쌓이면 결정체로 변하게 되고 이 결정체가 관절 내에 침착하여 염증을 유발하게 되기 때문에 이번 시간에는 통풍 증상과 통풍 치료법에 대해 알아보도록 하겠습니다.
통풍 증상 1. 무증상



통풍 증상 첫 번째는 무증상입니다. 초기 단계에서는 증상이 뚜렷하지 않거나 무시될 수 있습니다. 일부 사람들은 고요산혈증이 있지만 혈중 요산 수치가 높더라도 별 다른 증상은 초기에는 나타나지 않는 점이 특징입니다.
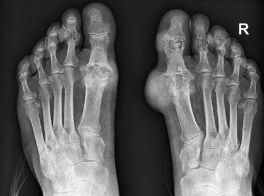
통풍증상 2. 엄지발가락 통증



통풍 증상 두 번째는 엄지발가락 통증입니다. 처음에 주로 엄지발가락 근저부 관절에 발병하는데 돌발적인 통증과 함께 붉게 부어오르며 무릎, 손목, 발목, 팔꿈치 등에 발생하기도 합니다.
통풍증상 3. 심한 통증



통풍 증상 세 번째는 심한 통증입니다. 무증상, 국소적인 통증에 이어 스치기만 해도 아프며 온몸에서 열이 나는데 이 때는 얇은 천이 스치기만 해도 통증을 느껴 양말을 신지 못하고 제대로 걷기 힘듭니다.
통풍증상 4. 급성 통풍 발작



통풍 증상 네 번째는 급성 통풍 발작인데 엄지발가락, 발목 등 한 곳의 관절이 갑자기 빨갛게 부어오르고 손댈 수 없을 정도로 통증이 심한데 발뒤꿈치, 팔목, 손가락, 귀 등에서 나타나며 급성 통풍성 관절염이라고 부르기도 합니다.
통풍증상 5. 간헐적 통풍



통풍 증상 다섯 번째는 간헐적 통풍입니다. 이러한 침습 이후 겉보기에 건강한 채로 평소와 다름없는 생활을 하더라도 1년쯤 지난 후에 돌연 발작이 재발하는데 점차 발작의 기간이 짧아지고 통증이 재발하면 처음보다 더 아프고 더 오래 지속된다는 것이 특징입니다.
통풍증상 6. 밤에 더 심해지는 통증



통풍 증상 여섯 번째는 밤에 통증이 더 심해지는데 이러한 통증으로 인해 잠을 이루지 못할 정도의 고통이 나타납니다.
통풍증상 7. 요로결석


통풍 증상 일곱 번째는 요로결석입니다. 통풍 환자들은 대개 고혈압을 동반한 상태인 경우가 많은데 이 때 요로 결석이 나타나며 또한 콩팥에도 문제가 생길 수 있기 때문에 요로 결석도 동반하게 됩니다.
통풍증상 8. 발열과 오한



통풍 증상 여덟 번째는 발열과 오한을 동반하게 되는데 이 때 나타나는 발열과 오한은 극심한 통증을 유발하는데 이 때는 통풍을 의심할 수 있습니다.
통풍 증상 9. 만성 관절염



통풍 증상 아홉 번째는 만성 관절염입니다. 통풍이 방치되면 발작성 관절염의 빈도가 점점 잦아지고 침범하는 관절 수도 많아집니다. 회복하는 속도도 더욱 더뎌지고 관절염이 만성으로 발전할 수 있습니다.
통풍 원인과 치료법

통풍은 귀족 질환으로 불릴 정도로 현대인의 충분한 영양분으로 인하여 생기는 질병입니다. 특히 요산을 과다하게 만드는 맥주, 기름진 음식, 동물 내장 등이 통풍을 유발하게 되는데 대개 이러한 성분의 과잉 섭취로 장기간 과다한 퓨린을 먹으면서 유발이 됩니다. 따라서 우선적으로 식이요범을 실시하여 맥주, 곱창류, 기름진 튀김 음식, 새우, 조개 등 어패류 및 갑각류 등은 삼가는 것이 좋으며 식이 요법을 통해 증상을 호전시킴과 동시에 지속적인 관리가 필요합니다.
돌발성 난청 원인과 좋은 음식 자세히 알아보기
돌발성 난청 원인과 좋은 음식 자세히 알아보기 돌발성 난청은 여러 가지 원인이 있을 수 있지만 대부분의 경우 정확한 원인을 확인하기는 어렵습니다. 따라서원인을 찾기보다는 비정상적인 청
wjdqh.goodtory.kr
어깨통증 원인 정리하기(목디스크, 어깨 충돌증후군 등)
어깨통증 원인 정리하기(목디스크, 어깨 충돌증후군 등) 가끔 일상생활을 하다보면 특별한 이유 없이 어깨가 아픕지만 사실 어깨가 아픈 이유는 이유가 없는 것은 아닙니다. 큰 통증이 없다
wjdqh.goodtory.kr
공진단 효능 부작용 정리하기
공진단 효능 부작용 정리하기 공진단은 예로부터 황제의 보약이라는 별칭으로 불릴 만큼 귀한 약으로 이용 되었다. 당연히 공진단은 중국 원나라에서 유명한 위역림이 개발해서 황제에게 복용
wjdqh.goodtory.kr
맥문동 효능 부작용 먹는방법 정리하기
맥문동 효능 부작용 먹는방법 정리하기 맥문동은 동남아가 원산지인 백합과에 속하는 여러해살이풀로, 의서 본초강목에 따르면 백문동은 뿌리가 보리와 비슷하여 겨울에도 잎이 시들지 않
wjdqh.goodtory.kr
어성초 효능 정리하기
어성초 효능 정리하기 삼백초과에 속한 여러해살이풀인 어성초는 우리나라를 비롯한 동북아시아, 동남아시아 일대에서 주로 재배되고 있으며 어성초의 이름은 풀에서 생선 비린내가 나기 때
wjdqh.goodtory.kr