뇌출혈 전조증상 자세히 알아보기
뇌출혈 전조증상 자세히 알아보기



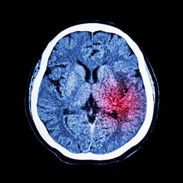
뇌출혈은 두 개 내에 출혈이 있어 생기는 모든 변화를 말하는 것으로 가장 큰 원인으로는 고혈압 증상을 지목하곤 합니다. 고혈압은 산소와 영양소가 뇌로 들어가는 통로인 혈관에서 변화를 일으키기 때문인데 뇌동맥류가 손상된 경우에도 발생할 수 있으며 잦은 흡연이나 음주 등 여러 원인으로 합병증으로 인해 발생할 수 있습니다. 특히, 뇌출혈 증상 발생시 가능한 빨리 병원으로 가야하고 약 2시간 안에 응급처치를 받아야 하는데 이는 응급처치를 받지 않으면 바로 뇌 손상으로 사망에 이를 수 있기 때문에 이번 시간에는 뇌출혈 전조증상에 대해 정리해 보겠습니다.
뇌출혈 전조증상 1. 두통



뇌출혈 전조증상 첫 번째는 두통입니다. 가장 흔한 뇌출혈 전조 증상은 두통이지만 두통은 누구나 경험하는 흔한 현상이기 때문에 무시되고 골든 타임을 지나게 됩니다. 뇌출혈로 인한 두통은 정상적인 두통보다 더 심할 수 있는데 이는 두통이 뇌동맥류로 인한 것이라면 많은 사람들이 일생에 최악의 두통을 경험할 정도로 심한 두통이기 때문에 빠르게 병원을 방문 해야 합니다.
뇌출혈 전조증상 2. 마비



뇌출혈 전조증상 두 번째는 마비입니다. 이러한 마비 증상은 한쪽에서 나타나는데 이는 우뇌는 좌측과 연결되어 있고 좌뇌는 우측과 연결되어 있기 때문에 한쪽에 유독 마비 증세가 계속 된다면 마찬가지로 뇌출혈 전조증상으로 판단해야 합니다.
뇌출혈 전조증상 3. 구토 및 메스꺼움



뇌출혈 전조증상 세 번째는 구토 및 메스꺼움입니다. 두통과 마비 증상에 더해 어지러움, 메스꺼움, 구토 등의 증상이 동반 된다면 이 때에도 뇌출혈을 의심할 수 있는데 특히 구토나 메스꺼움 증상은 수축기 혈압 상승으로 인해 기온이 떨어지는 겨울철에 발생하기 쉬워 주의가 필요합니다.
뇌출혈 전조증상 4. 시력 상실



뇌출혈 전조증상 네 번째는 시력 상실입니다. 뇌의 혈관 문제로 인하여 시야가 흐려지는데 이 때 뇌는 시신경과 연관 되어 있어 시야가 흐려지고 눈을 정상적으로 뜨기 어려울 수 있습니다.
뇌출혈 전조증상 5. 언어장애



뇌출혈 전조증상 다섯 번째는 언어장애입니다. 흐릿한 말투, 말하기 어려움 또는 말 자체를 또박또박 하기 어려운 언어 장애가 갑자기 나타나며 다른 사람들이 말하는 것을 이해하기 어려울 수 있습니다.
뇌출혈 전조증상 6. 균형 상실



뇌출혈 전조증상 여섯 번째는 균형 상실입니다. 이 때는 가만히 있어도 몸이 계속 기울어지기 때문에 몸을 가운데에 두고 바로 걷는 것이 상당히 어렵습니다.
뇌출혈 전조증상 7. 건망증



뇌출혈 전조증상 일곱 번째는 건망증입니다. 뇌출혈은 전반적으로 뇌 건강에 영향을 미치기 때문에 기억력 감퇴를 불어일으키는데 다른 증상과 마찬가지로 노화가 진행되면서 기억력이 떨어지기 때문에 구별이 어려우나 건망증이 평소와 같이 급격히 악화되면 뇌출혈을 의심해 봐야 합니다.
심장이 두근거리는 증상 및 원인 자세히 알아보기
심장이 두근거리는 증상 및 원인 자세히 알아보기 평소에 우리는 심장의 중요한 역할을 느끼지 못할 때가 많습니다. 하지만 심장이 주요 역할인 혈액을 끊임없이 주고받는 기능을 수행하며 우
wjdqh.goodtory.kr
과민성 대장증후군 증상 및 치료법 알아보기
과민성 대장증후군 증상 및 치료법 알아보기 우리 몸은 체내로 음식을 섭취하여 에너지를 보충하는데 이 과정에서 남은 찌꺼기를 변으로 배출하는데 이 때 변이 어떠한 형태로 혹은 변이 나오
wjdqh.goodtory.kr
로또복권 당첨번호 및 1036회 로또 당첨금 알아보기
로또복권 당첨번호 및 1036회 로또 당첨금 알아보기 안녕하세요, 2022년 10월 8일 토요일은 1036회 로또 당첨 번호 추천이 있는 날입니다. 소위 인생 역전을 하기 위해 우리는 로또를 사고는 합니다
wjdqh.goodtory.kr
대통령 지지율 여론조사 갤럽 (10월 7일 발표) 알아보기
대통령 지지율 여론조사 갤럽 (10월 7일 발표) 알아보기 지난 미국방문과 국내에서 말실수가 이어졌지만 이번 주 대통령 지지율 조사에서는 일부 반등한 모습이 나왔습니다. 긍정평가를 한 부분
wjdqh.goodtory.kr
편도결석 원인 및 제거법 알아보기
편도결석 원인 및 제거법 알아보기 편도 표면에는 우리 눈에 보이지 않는 작은 구멍들이 있는데 이는 편도에 생긴 작은 알갱이로 이러한 편도에 음식물 섭취로 생기는 찌꺼기나 세균, 타액이 뭉
wjdqh.goodtory.kr